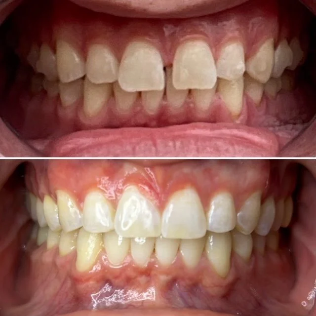
THE CLEAR ALTERNATIVE TO BRACES
INVISALIGN
Healthier gums, easier cleanings, and decreased risk of abnormal wear.
Healthier gums, easier cleanings, and decreased risk of abnormal wear.